是视网膜内的血流开始恶化的最初阶段
视网膜的状态
- 视网膜的毛细血管变脆
- 出现点状和斑状的出血
- 部分毛细血管肿成瘤状的毛细血管瘤
- 蛋白成分贮留的黄白色硬性白斑
症状
- 没有任何自觉症状。
- 视力也良好。
检查
- 每2~6个月进行一次视力检査、眼底检査。
- 根据需要进行眼底荧光造影。
治疗
- 控制运动、饮食以及血糖值,从而控制并防止糖尿病恶化。
近年来,糖尿病成了患病人数剧增的一种疾病。糖尿病是血液中的葡萄糖处于高浓度(血糖值)状态,即持续高血糖状态的疾病。健康人餐后胰脏会分泌胰岛素,将食物中所含的糖分转化成能量。而糖尿病患者胰岛素的分泌量和功能都会下降。其典型症状是口渴、多尿、全身倦怠乏力、体重减少等,但初期没有任何症状。
糖尿病最怕慢性影响全身器官形成并发症,特别是多数体现在肾脏和神经以及眼睛上,被称为三大并发症。眼睛的并发症称为糖尿病视网膜病变,确诊为糖尿病以后,定期接受内科和眼科检查,持续进行适当的治疗,可切实防止视网膜病变发病。但是,实际上因为初期无自觉症状而耽误的糖尿病患者很多,每年有3000人以上因此失明,现在已成为成人失明的主要原因之一。
眼球的内层有“视网膜”组织,以照相机做比喻就是相当于胶片的功能,是看物体的重要部分。整个视网膜上布满了纤细的血管。血糖值高的状态下,血管负担增大,血液流通变差,因此视网膜上的氧和营养成分不足。为了补充这些不足,会产生脆弱的新生血管,这就是糖尿病视网膜病变的原因。由于视网膜上纤细的血管非常多,因此容易受高血糖的影响。病情恶化时可能引起大出血、视网膜脱落,甚至失明。
即使患上糖尿病视网膜病变,也并不会马上发展到失明。根据视网膜的状态,病情发展分为3个阶段。

是视网膜内的血流开始恶化的最初阶段

这是单纯视网膜病变进一步恶化的状态。该阶段血管阻滞,出现血流无法到达视网膜某些部位的缺血部分。缺血部分周围,纤细的血管扩张,出现蜿蜒、中途阻滞等现象。

是增殖前期视网膜病变进一步恶化的状态。该阶段为了向缺血部分输送氧和营养成分,生长出新生血管。新生血管非常脆弱,会引起玻璃体出血。
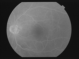
观察从瞳孔到眼睛内层(眼底)的视网膜的血管、视神经。本眼科使用无散瞳可在眼底各个角落拍摄的最新眼底照相机,进行眼底的定期检查。(超广角激光扫描检眼镜 欧堡 200Tx)为了详细观察眼底,要使用叫作散瞳剂的眼药,扩大瞳孔。眼药的效果持续4~5小时左右,这段时间内会感觉光线刺眼,看东西模糊。接受眼底检查当天请不要自己开车来院就诊。
该检查是为了把握视网膜血管异常,在静脉注射造影剂后约15分钟进行眼底照相。检查中会使用蓝色强光照相,因此感觉刺眼。因为荧光造影能够确认血管的状态和缺血部位,因此可用来确定治疗方法。


用红外线照射眼底,用器械对反射回来的光波进行分析,照射视网膜的断面。这项检查的目的是为了观察是否有糖尿病黄斑水肿及其发展情况。检查需要10分钟左右,也不会感觉特别刺眼。


为了观察整个眼底的断面需要进行约10分钟超声波检查。一般由于玻璃体出血和晶状体混浊,无法观察眼底时进行。确认有无视网膜脱落。无痛,但因为会在眼睛表面涂上凝胶,因此会有凉的感觉。
检查视网膜的功能。进行点眼麻醉后,戴上预置了电极的隐形眼镜,在黑暗的房间里等待15分钟,记录视网膜对光刺激的反应情况。一般在因玻璃体出血和晶状体混浊无法进行眼底观察时进行。
光凝仪是通过用激光照射视网膜,以抑制病情恶化、进行治疗的装置。
本院激光光凝仪引进了多功能彩色扫描激光光凝仪。

治疗中,比以往的激光装置疼痛减轻、治疗时间缩短。该装置可以减轻身体负担,提供安全可靠的治疗。
多功能扫描激光光凝仪治疗光可以从绿、黄、红三种颜色中选择,能够根据疾病的种类和患部的位置进行恰当的照射。


新新生血管破裂,引起玻璃体出血,或出现视网膜从眼底脱离的视网膜脱落症状、或存在黄斑水肿时,要进行玻璃体手术。目的在于尽量恢复因玻璃体出血和视网膜脱落而下降的视力。与白内障手术不同,玻璃体手术有时视力不会恢复太多。术后视力会因手术前玻璃体和视网膜的状态而有差异。为了恢复视力,尽量在早期接受手术非常重要。需要住院1~2周。
这是治疗的根本,定期到内科就诊,进行健康管理。
注意饮食要有规律,在不造成身体负担的条件下适当地运动等,生活要有规律。
定期接受检查,方能够接受恰当的治疗。因其没有自觉症状而放置不管是最危险的。
就诊频度因症状而不同,下面介绍一下各种症状的通常就诊频度。但是,如果发生并发症等,有时不适用通常就诊频度。
| 症状 | 就诊频度 |
|---|---|
| 糖尿病发病 | 每年一次 |
| 单纯性视网膜病变 | 每2~6个月一次 |
| 増殖前期视网膜病变 | 每1~2个月一次 |
| 増殖性视网膜病变 | 每1个月一次 |
| 有玻璃体出血的増殖性视网膜病变 | 每两周一次 |
由于初期没有自觉症状,等到发现时,有时病情已经恶化。如果发现早,不必住院,只要来医院进行激光光凝即可防止。在适当的时间,接受适当的治疗,就能够保持良好的视力,因此需要定期到眼科就诊。
因为通过严格控制血糖值,能够在一定程度上抑制对眼睛有影响的糖尿病视网膜病变的发生。控制范围一般应达到下表的“良”。把握自己的数值处于何种程度非常重要。
| 指标 | 血糖値(mg/dl) | HbA1c(%) | |
|---|---|---|---|
| - | 空腹时 | 饭后两小时 | - |
| 正常值 | 110以下 | 120以下 | 4~6 |
| 优 | 70~110 | 140以下 | 6以下 |
| 良 | 120以下 | 180以下 | 6.1~7.0 |
| 可以 | 160以下 | 240以下 | 7.1~8.5 |
| 不可以 | 160以上 | 240以上 | 8.5以上 |
为了防止出现新生血管,阻止糖尿病视网膜病变恶化,需要进行激光治疗。一旦未能防止病情恶化而进行玻璃体手术时,如果施行了激光治疗,手术后发生事故的危险性可以大幅度降低。
激光治疗的目的在于阻止糖尿病视网膜病变恶化、防止失明。因此不是提高视力的治疗。
可以说,一般情况下通过玻璃体手术,视力大多会得到改善。但是,如果因为糖尿病视网膜病变和视网膜脱落使得视网膜的神经本身受到损害,无论手术多么成功,有时视力也无法恢复。
糖尿病视网膜病变即使病情恶化也很难出现自觉症状。因为没有自觉症状,很多情况下难以早期发现,或不治疗、放置不管。在把握糖尿病状态的基础上,回答下列问题很重要。到眼科就诊时,问诊中请告诉我们以往的发展情况。
